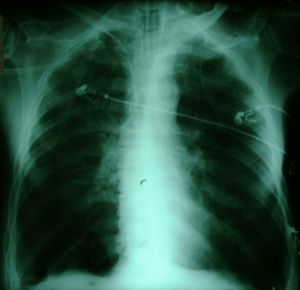
Before Recruitment
Arterial blood gas 18:00 23/10/1999 Fi0 2=70%
pH=7.47 pCO 2=31 pO 2= 59 Saturation 91
|
After Recruitment
Arterial blood gas 19:00 23/10/1999 Fi0 2=60%
pH=7.45 pCO 2=34 pO 2= 182 Saturation 99.5
|
The above X-rays illustrate one of the most dramatic and successful
maneuvers you can perform in Intensive Care. The patient whose X-rays
are shown is a man in his sixties who had surgery for malignancy,
and subsequent to multiple complications including a deep vein
thrombosis, pulmonary embolism, and perineal sepsis, developed hypoxaemia
and bilateral pulmonary infiltrates, in the absence of clinical evidence of
elevated left atrial pressure. A recruitment maneuver produced
substantial improvement in his oxygenation, which was maintained.
By 23:00 on the same day he was weaned down to an FiO2 of
35% with the following blood gas:
pH=7.39 pCO2=35 pO2=69 Saturation 94
|
What is Recruitment?
The traditional view of "Acute Lung Injury" or "Acute Respiratory
Distress Syndrome" is that it is a homogenous disease, with diffuse
involvement of lung parenchyma. We now know that this is not the case.
Habashi et al. following on the work of
both Gattinoni and Maunder, describe three 'compartments' in ARDS-affected
lungs:
- aerated normal lung susceptible to barotrauma induced by
inappropriate ventilation;
- air spaces that are filled with exudate and not recruitable;
- areas that are collapsed due to interstitial infiltration and
are potentially recruitable.
There is an increasing perception that mechanical ventilation may further
compromise the sick lung. Compromise may be due to:
- Overinflation of normal lung tissue, due to high transpulmonary pressures,
causing increased permeability, worsening compliance, and a vicious cycle
of progressive lung injury;
- Inadequate levels of positive end-expiratory pressure (PEEP),
promoting regional collapse of lung tissue (atelectasis), and also
causing alveolar injury due to cyclical closing and opening of
airways with ventilation.
Because mechanical ventilation preferentially diverts airflow to the
upper regions of the lungs, in contrast to the normal physiological pattern
where the bases are better aerated, lung collapse is predominantly basal
in most ventilated patients.
Recruitment is a strategy aimed at re-expanding collapsed lung tissue,
and then maintaining high PEEP to prevent subsequent 'de-recruitment'.
In order to recruit collapsed lung tissue, sufficient pressure must be
imposed to exceed the critical opening pressure of the affected lung.
In dependent areas of the lung, the pressures required may exceed 50cm H2O.
Such pressures are far in excess of pressures needed to recruit
areas in the upper lobes, and in fact may over-distend and even injure
the upper lobe alveoli. A strategy is needed to limit trans-alveolar
pressures in the upper lobes, and provide sustained high pressures in
the lower areas of the lungs sufficient to cause recruitment of
collapsed tissue. Various ventilatory modes such as inverse ratio
pressure-controlled ventilation, airway-pressure release ventilation,
and even high-frequency oscillatory ventilation have been used to promote
recruitment, but a new strategy is even more effective.
A new strategy
An effective recruitment strategy that we have found successful is to:
- Select an appropriate patient
Ideal patients for recruitment maneuvers are patients with putative
ARDS in the early phase of the disease (before the onset of
fibro-proliferation). Patients should be poorly oxygenated on a high FiO2.
Pre-existing focal lung disease that may predispose to barotrauma
should be regarded as a relative contra-indication to the maneuver
(for example extensive apical bullous lung disease). Patients with
'secondary' ARDS (following on, for example, abdominal sepsis) are
thought to be more likely to respond favourably to the maneuver
than patients with 'primary' lung disease and acute lung injury.
- Position the patient prone
This is easily done (after some initial resistance from nursing staff)!
An important component of prone positioning for recruitment is to have
a pillow under the upper chest, and another beneath the pelvic area,
so the abdomen hangs down somewhat in between the two pillows.
Continue appropriate mechanical ventilation.
- The patient must be fully monitored
Monitoring should include (at least) invasive arterial
blood pressure monitoring, pulse oximetry and ECG. The patient must also
be completely paralysed with non-depolarising neuromuscular blockade,
to prevent attempts at respiration during the maneuver. A baseline
arterial blood gas analysis (ABG) should be obtained after the FiO2
has been increased to 100%.
- Administer 40cm H2O of PEEP for 90s
Set the ventilator to an effective rate of zero (with no machine
breaths) and then immediately raise the PEEP to 40cm H2O
for a carefully timed period of one and a half minutes. Then re-institute
ventilation as before.
- Wait and recheck the ABG
Wait for a period of five minutes, leaving the patient in the prone
position, and obtain a blood gas analysis. If the PaO2 is
under 300mmHg, then consider repeating the maneuver at PEEPs of
45mmHg and (if this fails) 50mmHg, also for ninety seconds.
- Prevent 'de-recruitment'
The patient should now be maintained on a PEEP of 15 cmH2O.
Often, the patient can be turned back to a supine position without
substantial worsening of oxygenation. Ventilation should continue
with a strategy that minimises additional alveolar trauma (for example,
inverse ratio pressure-control ventilation, with every attempt to
keep trans-alveolar pressure to under 35cm H2O). Ventilator
tidal volumes should perhaps be limited to approximately 6 ml/kg.
Rationale
The rationale behind the above maneuver is that prone ventilation
splints the thoracic cage, especially the anterior portion and the
area around the upper lobes. If diaphragmatic excursion is promoted
(by freeing up the abdomen) then preferential ventilation of the lower
lobes is encouraged, and overdistension of the upper lobes is
prevented.
Sustained pressures of 40 to 50 cm H2O are applied
to the airway for a sufficient time to distribute pressure to
collapsed lung areas, and promote recruitment.
Once adequate recruitment has been achieved, high PEEP is used
to prevent recurrent airway collapse.
Afterword and Disclaimer
The above patient was selected as an example of a mild to moderate
success. In many cases, recruitment is even more dramatic (We felt
that if we showed you such cases, you wouldn't believe us)!
Note that as we are at an altitude of about 1600 metres, the
pCO2 in our patient is lower than one would regard as normal at
sea level. (Patients at our altitude tend to chronically hyperventilate
slightly).
Although prone positioning is highly desirable, it is not
essential. However, if you don't position the patient prone, you have
to limit expansion of the upper regions of the lung using other maneuvers.
One way is simply to press forcefully on the upper chest during the
maneuver (with about 20kg of force), or to apply 20kg sandbags.
(Gattinoni has even used an inflatable device that intermittently
compresses the upper chest with each breath)!
We have now performed the recruitment maneuver on over twenty
selected patients, generally with substantial improvement in oxygenation.
Meticulously adhering to the above procedure, we have encountered no
instances of barotrauma or haemodynamic compromise.
The success of recruitment maneuvers raises the question as to
whether cases traditionally described as having Acute Respiratory
Distress Syndrome (or 'Adult Respiratory Distress Sydrome') do not
in fact have a substantial component of reversible atelectasis that
is contributing to the hypoxaemia associated with the disease. Presumably
there is a spectrum of disease, from predominant filling of air-spaces
with inflammatory exudate, through to cases with widespread atelectasis.
Based on the above, one can make a strong case for early application
of substantial amounts of PEEP in patients at risk for the development
of "ARDS", with due attention to the potential haemodynamic effects of
such PEEP.
The above description is for teaching purposes only. The maneuver
and its individual components should all be regarded as highly
experimental. If you choose to perform such a recruitment maneuver
on one of your patients, we cannot be held responsible for any
misadventure suffered by the patient. It is your responsibility
to weigh up potential risks versus advantages for anything you do
to a patient in your care!
Prof G. Richards
Dr H. White
Dr J. van Schalkwyk
General Intensive Care Unit
Johannesburg Hospital
Johannesburg, South Africa.
References
- Habashi, NM et al. New Directions in Ventilatory Management
from: Advanced Therapy in Thoracic Surgery Chapter 3. pp 24-35.
Franco KL, Putnam JB. 1998.